- STOREGlobal/English
Patient Case Study | Crown Lengthening by Dr. Stijn Haesevoets
24/01/24 Bree, Belgium

Dentist Introduction
Dr. Stijn Haesevoets graduated in 1995 as a Dentist and subsequently as a Pediatric Dentist in 1998 at KU Leuven and also completed a postgraduate course in Oral Implantology (UGent) in 2007-2008 and the Integrated Orthodontics course (Lichtenvoorde, Netherlands) from 2022- 23. For 25 years, Stijn Haesevoets was manager and practice leader of a group practice Dentistry in Vrasene.
Dr. Stijn Haesevoets now manages his own technologically advanced dental practice, TSH, in Bree, Limburg, Belgium.
Case Background
Age : 42 yrs
Gender : Female
Chief Concern: The patient's primary concern was the esthetic appearance of her smile.
Challenges:
There was limited available budget, and the patient wished to restore the teeth without any orthodontic pre-treatment.
From the beginning, the patient was made aware that without orthodontic pre-treatment, outcomes would be a compromise and the golden proportions of a natural smile could not be guaranteed.
First Consultation and Examination
At the patient's first consultation, she reported suffering from bruxism as well as acid reflux from stomach. There was visible erosion and abrasion of all teeth with losses in the vertical dimension, as well as an impact 13 and eruption of upper front teeth. The former The dentist could not solve the issues mentioned above and did not offer a solution. The medical situation had changed and acid from the stomach no longer appeared in the oral cavity.
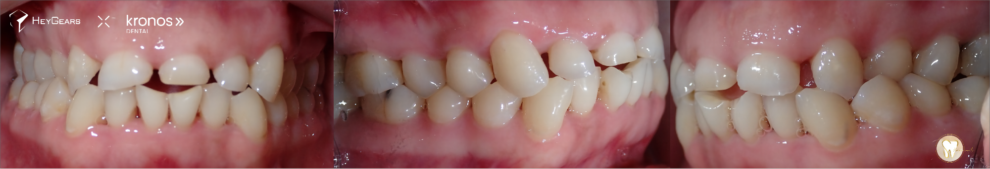
Pretreatment Intraoral Condition
1706074890180.png)
Fig 1: Intraoral View (front); Fig 2: Intraoral View (left); Fig 3: Intraoral View (right)
1706074939745.png)
Fig 4: X-Ray Scan (left); Fig 5: X-Ray Scan (right)
Pretreatment Extraoral Condition
1706075868921.png)
Fig 6: Preoperative Smile
Diagnosis
Clinical investigation and facial analysis showed short appearance of incisors, excessive buccal corridors, crossbite in the first quadrant, deviation of upper and lower midline, and loss of vertical height.
Treatment Plan
The functional design was compared to the initial situation as there were areas which needed to be grinded before adding material and restoring teeth in an anatomical way with cusps and grooves with a minimal thickness of 2 mm.
To realize this, silicon impressions were made using a combined model for the upper and lower jaw. The combined model was the result of a synced STL that was created with the original wisdom teeth, designed premolars and molars and the eroded front teeth.
This was used to assess how to prepare teeth, and also identify which teeth could be treated without any preparation. To reduce costs we decided to make only 3D printed restorations and use an Immediate Dentin Sealing (IDS) technique to glue the printed restorations (after sandblasting with Cojet and etching) while also making use of 3M warm universal restorative composite heated to a temperature of 50° Celsius.
Treatment
Printable dental 3D models were designed by the HeyGears Dental Design team. The finalized STL files were uploaded to HeyGears Cloud to complete the pre-processing procedures. Onlays and crowns were fabricated in approximately 30 mins using less than 18 g of saremco print CROWNTEC for HeyGears (LT Crown UV) and the UltraCraft ChairSide Combo.
1. Digital 3D model fabrication.
Fig 7: Preoperative digital 3D digital model
2. Digital smile design before clinical crown lengthening.
Fig 8: Smile design done with Smilecloud
3. Clinical crown elevation procedure in esthetic zone of upper jaw to increase the clinical crown length for restoration.
1706149231600.png)
Fig 9: 3D printed guided gingivectomy in esthetic zone; Fig 10: view of completed gingivectomy
4. Scaling of the four quadrants (13/12/11/21/22/23/34/35/36/37) for restoration.
1706149263176.png)
Fig 11: Digital 3D model after scaling - upper jaw; Fig 12: Digital 3D model after scaling - lower jaw
5. Functional design by Dr. Stijn Haesevoets.
Fig 13: Digital diagnostic wax-up model Dr. Stijn Haesevoets
Fig 14: Digital diagnostic wax-up by Dr. Stijn Haesevoets (upper jaw);
Fig 15: Digital diagnostic wax-up by Dr. Stijn Haesevoets (lower jaw)
1706149347488.png)
Fig 16: Crown design for 13/12/11/21/22/23 by HeyGears Design Center;
Fig 17: Crown design for 34/35/36/37 by HeyGears Design Center
Fig 18: Crown design on 3D digital model (front) by HeyGears Design Center
6. 3D printing the crowns using the UltraCraft ChairSide Combo with saremco print CROWNTEC for HeyGears (LT Crown UV) resin.
Printed with 17.4g of saremco print CROWNTEC for HeyGears (LT Crown UV) resin with a printing time of 30 mins 49 sec.
Fig 19: 3D printed crown by saremco print CROWNTEC for HeyGears (LT Crown UV);
Fig 20: Gingivectomy guide and crowns are produced by UltraCraft ChairSide Combo
7. Placing 3D printing crowns for 13/12/11/21/22/23.
Dr Stijn Haesevoets started with the posterior region and placed 3D printed onlays on premolars and molars in quadrant 1, 2 and 3.
In the fourth quadrant composite stops were placed, and printed onlays will be made in 2024.
Fig 21: Intraoral view of upper jaw(with printed crown for 13/12/11/21/22/23)
1706149487827.png)
Fig 22: Preoperative smile; Fig 23: Smile after treatment
Summary of Case Highlights
The esthetic restoration of the patient’s smile was a success. The 3D printing techniques used were able provide results that exceeded the patient’s expectations whilst also keeping treatment within the limited budget.
- Personalized Treatment Design
- Swift Treatment Delivery
- Highly Aesthetic Results
- Budget Friendly Approach
Learn more:
HeyGears Dental Design Service
saremco print CROWNTEC for HeyGears (LT Crown UV)