- STOREGlobal/English
Patient Case Study | BDG Producing Full Arch Implants with UltraCraft ChairSide
29/03/23 Las Vegas, USA
This patient case study contains potentially disturbing images that may not be suitable for sensitive readers, reader discretion is advised.
BDG can shorten a patient's treatment process by incorporating HeyGears' digital solutions into its workflow. Dr. Glen Justice, DDS at BDG, recently performed a full arch implant case and delivered a new set of teeth to his patient in just 2 days. "It is important to make sure patients have replacement teeth as quickly as possible; the lack of teeth does not only affect the appearance of their face but also harms their gums and jawbone health. At BDG we can complete our print jobs in 1 to 2 days which is extremely beneficial to the patient and our business. Delivering quality products in a short amount of time is important to maintaining the great service BDG is known for."
Boston Dental Group is an affordable, high-quality dental group founded in 2002. With twenty dental offices conveniently located throughout Southern Nevada, they offer various dental services such as orthodontics, oral surgery, dentures, and general dentistry. Boston Dental Group currently uses HeyGears UltraCraft 3D printers for the production of their expedited dental cases.
Dr. Glen Justice
DDS at BDG
Patient Case
Dr. Glen Justice recently treated a male patient who was missing almost all of his teeth, had failing implants on his upper right and lower right premolars and had advanced periodontal disease on his lower incisors and canines. The patient complained that his current intra-oral condition was greatly affecting his functional ability, in addition to the resulting impact on his smile. The patient was urged to receive treatment to regain his mouths overall function to smile and eat comfortably.

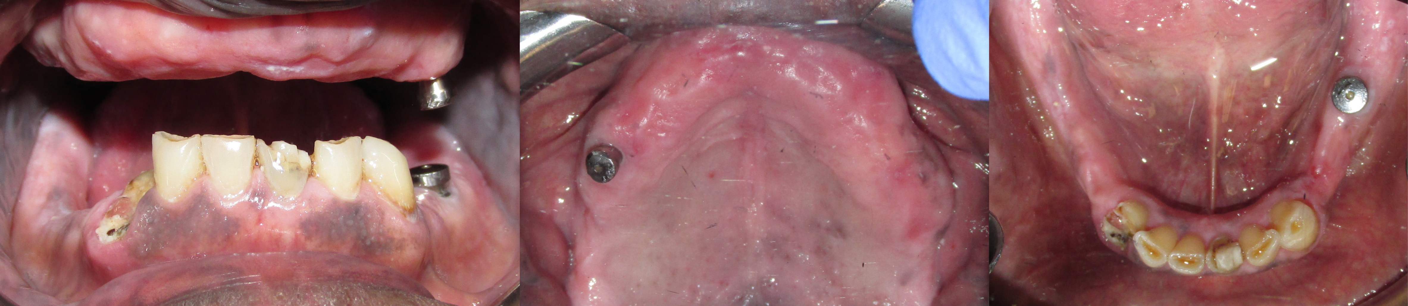
Figure 1 shows the pre-treatment intraoral condition of the upper and lower teeth

Figure 2 shows an x-ray result of the patients failing implants and overall teeth condition

Figure 3 shows 3D Images of the CBCT scan
After examining the patient's current condition, Dr. Glen confirmed the treatment plan of removing the remaining implants and existing teeth. Followed by placing 6 upper implants and 6 lower implants with 2nd-day delivery to minimize the wait time as much as possible before the final restorative plan of placing full-arch upper and lower dental implants. Dr. Glen was able to use the data collected by an intraoral scanner to create the design for full-arch upper and lower dental implants.

Figure 4 STL files of the full-arch restorations printed on HeyGears UltraCraft 3D Printer
Dr. Glen used an UltraCraft 3D printer to produce the full-arch dental implants in-house, reducing production time in an accurate and precise process. Dr. Glen used UltraPrint-Dental denture teeth UV resin with essential features such as high abrasion resistance and high tensile and flexural strength for implants. Its excellent durability allows it to resist corrosion from everyday products such as coffee, tea, and carbonated liquids.

Figure 5 3D printed upper and lower full-arch dental implants
With the various shades provided by the denture teeth UV resin, Dr. Glen could successfully match the ideal shades for his patient and provide treatment.

Figure 6 Final treatment results
The fixed restorations were placed in the patient's mouth. The treatment was successful, and the patient regained their smile in only two days.


Figure 7 shows a comparison between the patient's pre-treatment and post-treatment photographs
The patient was treated at BDG in Las Vegas, Nevada, by Glen Justice, DDS at BDG. Dr. Justice holds a doctor of dental surgery degree from Marquette University School of Dentistry and was previously chairman and member of the Southern Nevada Dental Society Peer Review Committee. Dr. Justice was also a Disciplinary Screening Officer for the Nevada State Board of Dental Examiners.